Prótesis sobre implantes

¿QUÉ SON LAS PRÓTESIS SOBRE IMPLANTES?

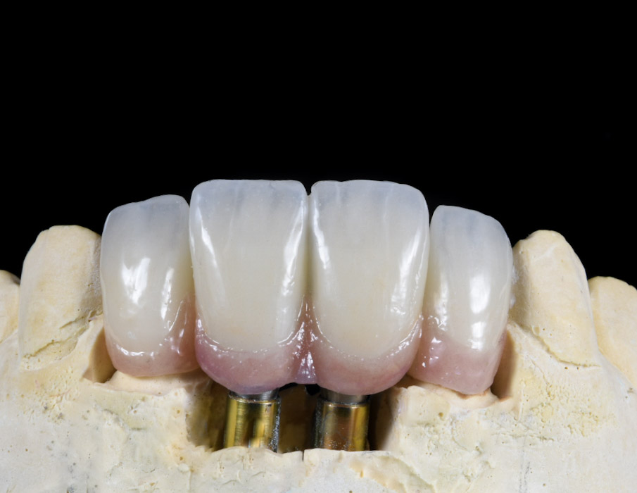
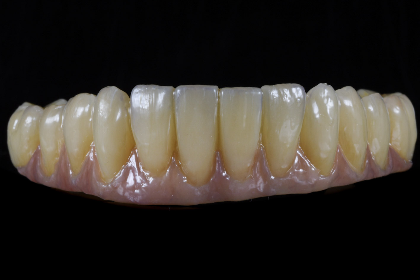
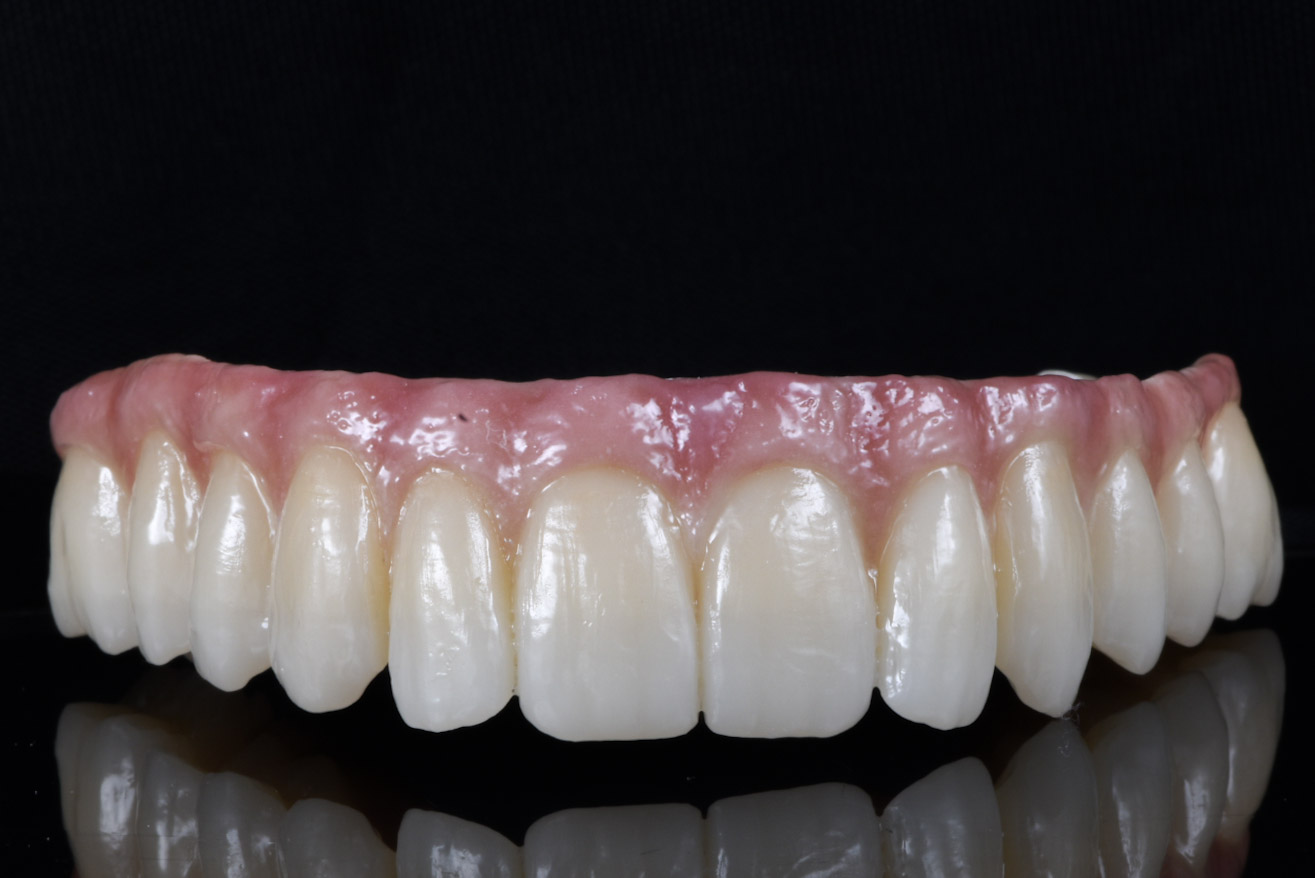
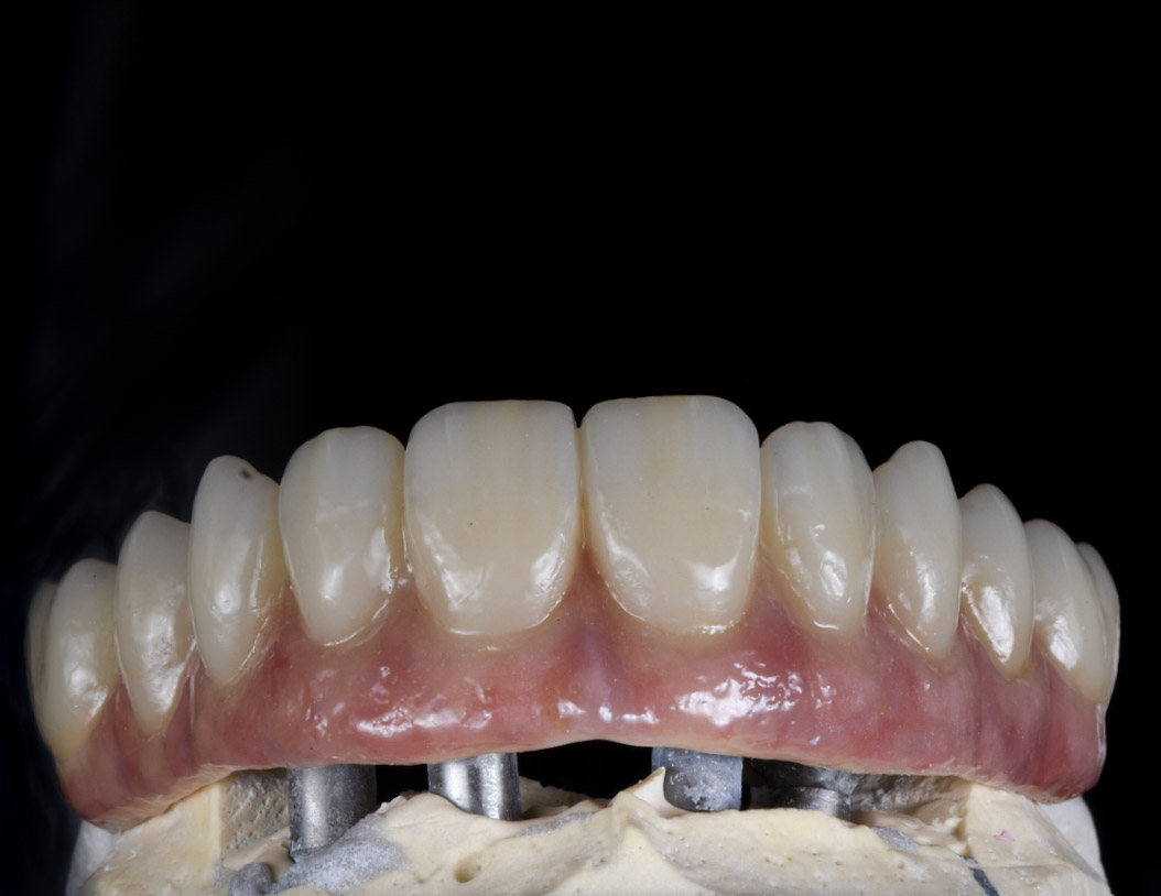
Hablamos de prótesis fija sobre implantes (prótesis implantosoportadas) en aquellos casos donde la ausencia de la pieza dentaria es reemplazada por una pieza protésica que es atornillada/cementada sobre un implante dental.

Scroll al inicio